Home

The Beginning

Educational Path

Career Path

Academic Focus

Research Synopsis

Recent Highlights

A Word About Shepherds

Special Thanks

Research Synopsis 2

[Synopsis 1]    [Synopsis 2]    [Synopsis 3]    [Synopsis 4]

Endocrine Regulation of the Testes

FSH regulation of inhibin secretion by Sertoli cells

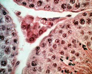
Sertoli cells are intimately involved in regulating spermatogenesis (Fig 1). These cells secrete inhibin, a hormone with diverse actions in the testis and brain. Our studies indicate that in both juvenile and adult rams, natural rises in FSH secretion induce rises in inhibin secretion. Inhibin in rams is highest at 2 months of age when the testes are starting to grow rapidly. As the testes of the adult ram begin to redevelop in the summer, high FSH per se promotes inhibin secretion. FSH then "up regulates" the synthesis of its own receptor causing Sertoli cells to become more responsive to the FSH signal, thus maintaining inhibin at a high level.

LH regulation of steroidogenesis in Leydig cells

Studies were designed to determine why testosterone secretion in adult rams increases several fold as they pass from the nonbreeding season (spring) to the breeding season (autumn). The seasonal rise in testosterone was shown to be due to a higher frequency of pulsatile LH releases and, equally as important, to a greater number of LH receptors on the surface of Leydig cells (Fig 2). We have also learned that stronger LH action in the autumn enables Leydig cells to secrete more testosterone by increasing the activity of key proteins regulating intracellular cholesterol transport and steroid biosynthesis.


Fig 1: Seminiferous tubules containing
germ cells and Sertoli cells
(Photomicrographs courtesy of Dr. Christopher Price, Université de Montréal)

Fig 2: Interstitial tissue (island) containing
mainly Leydig cells

Fig 3: Scrotal circumference (testes size measurement) for yearling Suffolk rams with normal or suppressed prolactin secretion

Prolactin regulation of testicular recrudescence

The possibility that a third pituitary hormone, prolactin, might also stimulate the testes of rams intrigued us. We used the drug bromocriptine to suppress the springtime rise in prolactin secretion. This temporarily slowed down germ cell proliferation and testicular enlargement (Fig 3), but did not alter FSH or testosterone, the primary regulators of spermatogenesis. In a follow-up study, suppression of prolactin early in testicular recrudescence did not affect FSH receptors, further implying that prolactin acts directly on germ cells. Prolactin may also be involved in timing the seasonal increases in LH and FSH.

Estrogen effects within the testis

We spent considerable time examining the role of estrogen in regulating testosterone secretion. In several studies rams were passively immunized with a small amount of antiserum against estradiol, thus reducing estrogen's influence on Leydig cells. We found that the testes of treated rams were more responsive to LH, in part due to greater gene expression in the testis for a protein required in testosterone production. Episodic testosterone secretions became larger, which raised mean levels in blood. Immunization of rams during testicular regression prevented testosterone from declining (Fig 4), but not testis size and sperm production.


Fig 4: Testosterone in DLS rams immunized
or not immunized against estrogen
 
[< Previous    Next >]

© 2008 L. Sanford. Email